г. Мытищи, ул. Коминтерна, 24А, с1

Пн-Пт 09:00-17:00

Основные факты о заболевании

   

• У людей с этим заболеванием есть изменения (мед.-мутации, варианты) в генах, которые контролируют структуру и функцию ресничек, из-за чего они не могут очистить легкие от вдыхаемых частиц и бактерий.
    • Когда реснички не работают должным образом, человек подвержен инфекциям пазух носа, бронхов и легких, отитам.
    • Симптомы ПЦД часто недооцениваются, если они не являются относительно тяжелыми. Сначала заболевание может быть диагностировано, как астма, бронхит или бронхоэктазы (расширение одного или нескольких участков бронхов) неизвестной причины, часто ребенка или взрослого наблюдают и оперируют оториноларингологи по поводу хронического полипозного риносинусита (воспаление околоносовых пазух).
    • Инфекция и воспаление в конечном итоге приводят к бронхоэктазам почти у всех взрослых с ПЦД, но первые бронхоэктазы появляются уже в детском возрасте.
    • Отмечается нарушение слуха на фоне хронического экссудативного среднего отита. 
    • Многие мужчины обращаются к репродуктологу с бесплодием и астенозооспермией, а женщины с бесплодием трубного происхождения - к гинекологу.

Рисунок 1: виды бронхоэктазов

Рисунок 2: 1-нормальные бронхи, 2- бронхоэктазы.

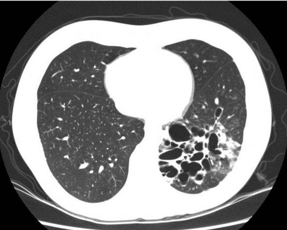
Рисунок 3:КТ ОГП: односторонние бронхоэктазы в легких

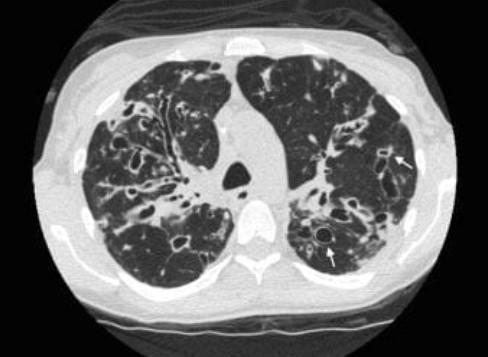
Рисунок 4: КТ ОГП – двусторонние бронхоэктазы в легких