г. Мытищи, ул. Коминтерна, 24А, с1

Пн-Пт 09:00-17:00

Клинические проявления

При ПЦД поражаются верхние и нижние дыхательные пути. Для пациентов с первичной цилиарной дискинезией характерны: 
    • хронический риносинусит;
    • назальный полипоз; 
    • трудно поддающийся лечению кашель с выделением мокроты от светлой до гнойной;
    • частые отиты со снижением слуха и без; 
    • бронхоэктазы у пациентов и их родственников;
    • наличие пигментного ретинита; 
    • взрослые пациенты мужского пола с нарушением фертильности; 
    • женщины, перенесшие внематочную беременность и/или ЭКО; 
    • высев из мокроты Haemophilus influenza. 

В 40-50% случаев первичной цилиарной дискинезии наблюдается обратное расположение внутренних органов (situs viscerum inversus) или изолированная декстрокардия, в сочетании с поражением бронхолегочной системы, которая получила название синдром Картагенера (СК). Его распространенность составляет 1:30000-1:60000. В 5% случаев первичной цилиарной дискинезии наблюдаются пороки сердца. 
Синдром Картагенера (situs inversus) может быть ключом к диагностике ПЦД, поскольку включает в себя три основных симптома: хронический синусит, бронхоэктазы и situs inversus. В 5% случаев встречаются пороки сердца. 

Сравнительная таблица клинических проявлений у пациентов из Китая и европеоидной расы с ПЦД. 

Peng B, Gao YH, Xie JQ, He XW, Wang CC, Xu JF, Zhang GJ. Clinical and genetic spectrum of primary ciliary dyskinesia in Chinese patients: a systematic review. Orphanet J Rare Dis. 2022 Jul 19;17(1):283. doi: 10.1186/s13023-022-02427-1. PMID: 35854386; PMCID: PMC9295413. Comparison of clinical manifestations between Chinese and Caucasian patients with PCD. NRD = neonatal respiratory distress; CHD = congenital heart disease.




Биение ресничек у здорового – видео 1


Биение ресничек у больного ПЦД – видео 2



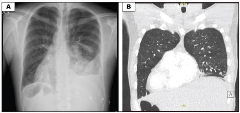
Синдрома Зиверта-Картагенера:
Рисунок А: рентгенограмма грудной клетки, показывающая альвеолярное затемнение в левой нижней доле, плевральный выпот и признаки потери объема, декстрокардией и правостороннее расположение пространства Траубе желудка.
Рисунок B: на томографии грудной клетки полное обратное расположение органов: сердце и желудок справа и печень слева.



1.Нормальное положение сердца и 2. декстрокардия